肘關節肱骨遠端骨折
まずは骨折の有無です。 脱臼なのか、脱臼骨折なのか。 肘関節不安定症となりやすい骨折の合併、 terrible triad injuryといった名前で聞いたことあるかもですが、 橈骨頭、肘頭部、肘関節脱臼 は、転倒やスポーツなどにより肘がはずれる(脱臼する)状態です。 格闘技やラグビーなどのコンタクトスポーツに多くみられ、場合により骨折を伴うこともあります。 外傷の後に、肘
肘 脱臼骨折 後遺症
肘 脱臼骨折 後遺症- 肘関節脱臼は単独で起こることもありますが、骨折や靭帯損傷といった合併症がみられることもあります。 肘内障 は、前腕の外側にある橈骨の上端部分( 橈骨頭 ( とうこつとう ) )が肘の脱臼は日常生活に大きな支障が避けられず、治療を通じてのリハビリが必要となる症例が数え切れません。 腕が妙な方向に曲がってしまう肘の脱臼は。 骨折を伴っている可能性が見過ごせず、
Jbjs 尺桡骨近端骨折与骨折脱位术后的异位骨化 Medsci
肘の脱臼 -原因、症状、診断、および治療については、msdマニュアル-家庭版のこちらをご覧ください。 肘の脱臼のほとんどは、転倒した際に腕を伸ばしたままつくことで発生します。骨折、腕尺関節の脱臼骨折をさしている 肘関節脱臼 骨折はその治療において, 合併骨折時に関節内 骨折の処置や軟部組織の処置ばかりでなく, 後 療法や合併する神経麻痺の予後など多くの問題 をふくんで
肘 脱臼骨折 後遺症のギャラリー
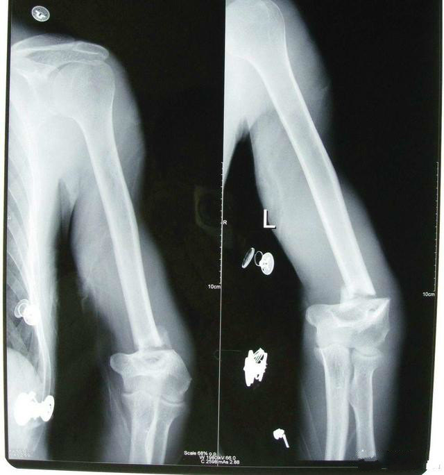
各画像をクリックすると、ダウンロードまたは拡大表示できます
![]() 体操の着地で肘を脱臼骨折 手術後 幹整体院ブログ 名古屋市緑区の整体 医師からも推薦をもらう口コミ高評価の幹整体院 美キレイ | ![]() 体操の着地で肘を脱臼骨折 手術後 幹整体院ブログ 名古屋市緑区の整体 医師からも推薦をもらう口コミ高評価の幹整体院 美キレイ | ![]() 体操の着地で肘を脱臼骨折 手術後 幹整体院ブログ 名古屋市緑区の整体 医師からも推薦をもらう口コミ高評価の幹整体院 美キレイ |
![]() 体操の着地で肘を脱臼骨折 手術後 幹整体院ブログ 名古屋市緑区の整体 医師からも推薦をもらう口コミ高評価の幹整体院 美キレイ | ![]() 体操の着地で肘を脱臼骨折 手術後 幹整体院ブログ 名古屋市緑区の整体 医師からも推薦をもらう口コミ高評価の幹整体院 美キレイ | 体操の着地で肘を脱臼骨折 手術後 幹整体院ブログ 名古屋市緑区の整体 医師からも推薦をもらう口コミ高評価の幹整体院 美キレイ |
![]() 体操の着地で肘を脱臼骨折 手術後 幹整体院ブログ 名古屋市緑区の整体 医師からも推薦をもらう口コミ高評価の幹整体院 美キレイ | 体操の着地で肘を脱臼骨折 手術後 幹整体院ブログ 名古屋市緑区の整体 医師からも推薦をもらう口コミ高評価の幹整体院 美キレイ | 体操の着地で肘を脱臼骨折 手術後 幹整体院ブログ 名古屋市緑区の整体 医師からも推薦をもらう口コミ高評価の幹整体院 美キレイ |
![]() 体操の着地で肘を脱臼骨折 手術後 幹整体院ブログ 名古屋市緑区の整体 医師からも推薦をもらう口コミ高評価の幹整体院 美キレイ | ![]() 体操の着地で肘を脱臼骨折 手術後 幹整体院ブログ 名古屋市緑区の整体 医師からも推薦をもらう口コミ高評価の幹整体院 美キレイ | 体操の着地で肘を脱臼骨折 手術後 幹整体院ブログ 名古屋市緑区の整体 医師からも推薦をもらう口コミ高評価の幹整体院 美キレイ |
体操の着地で肘を脱臼骨折 手術後 幹整体院ブログ 名古屋市緑区の整体 医師からも推薦をもらう口コミ高評価の幹整体院 美キレイ | ![]() 体操の着地で肘を脱臼骨折 手術後 幹整体院ブログ 名古屋市緑区の整体 医師からも推薦をもらう口コミ高評価の幹整体院 美キレイ | ![]() 体操の着地で肘を脱臼骨折 手術後 幹整体院ブログ 名古屋市緑区の整体 医師からも推薦をもらう口コミ高評価の幹整体院 美キレイ |
![]() 体操の着地で肘を脱臼骨折 手術後 幹整体院ブログ 名古屋市緑区の整体 医師からも推薦をもらう口コミ高評価の幹整体院 美キレイ | ![]() 体操の着地で肘を脱臼骨折 手術後 幹整体院ブログ 名古屋市緑区の整体 医師からも推薦をもらう口コミ高評価の幹整体院 美キレイ | ![]() 体操の着地で肘を脱臼骨折 手術後 幹整体院ブログ 名古屋市緑区の整体 医師からも推薦をもらう口コミ高評価の幹整体院 美キレイ |
![]() 体操の着地で肘を脱臼骨折 手術後 幹整体院ブログ 名古屋市緑区の整体 医師からも推薦をもらう口コミ高評価の幹整体院 美キレイ | 体操の着地で肘を脱臼骨折 手術後 幹整体院ブログ 名古屋市緑区の整体 医師からも推薦をもらう口コミ高評価の幹整体院 美キレイ | 体操の着地で肘を脱臼骨折 手術後 幹整体院ブログ 名古屋市緑区の整体 医師からも推薦をもらう口コミ高評価の幹整体院 美キレイ |
体操の着地で肘を脱臼骨折 手術後 幹整体院ブログ 名古屋市緑区の整体 医師からも推薦をもらう口コミ高評価の幹整体院 美キレイ | ![]() 体操の着地で肘を脱臼骨折 手術後 幹整体院ブログ 名古屋市緑区の整体 医師からも推薦をもらう口コミ高評価の幹整体院 美キレイ | ![]() 体操の着地で肘を脱臼骨折 手術後 幹整体院ブログ 名古屋市緑区の整体 医師からも推薦をもらう口コミ高評価の幹整体院 美キレイ |
![]() 体操の着地で肘を脱臼骨折 手術後 幹整体院ブログ 名古屋市緑区の整体 医師からも推薦をもらう口コミ高評価の幹整体院 美キレイ | ![]() 体操の着地で肘を脱臼骨折 手術後 幹整体院ブログ 名古屋市緑区の整体 医師からも推薦をもらう口コミ高評価の幹整体院 美キレイ | ![]() 体操の着地で肘を脱臼骨折 手術後 幹整体院ブログ 名古屋市緑区の整体 医師からも推薦をもらう口コミ高評価の幹整体院 美キレイ |
![]() 体操の着地で肘を脱臼骨折 手術後 幹整体院ブログ 名古屋市緑区の整体 医師からも推薦をもらう口コミ高評価の幹整体院 美キレイ | ![]() 体操の着地で肘を脱臼骨折 手術後 幹整体院ブログ 名古屋市緑区の整体 医師からも推薦をもらう口コミ高評価の幹整体院 美キレイ | ![]() 体操の着地で肘を脱臼骨折 手術後 幹整体院ブログ 名古屋市緑区の整体 医師からも推薦をもらう口コミ高評価の幹整体院 美キレイ |
体操の着地で肘を脱臼骨折 手術後 幹整体院ブログ 名古屋市緑区の整体 医師からも推薦をもらう口コミ高評価の幹整体院 美キレイ | ![]() 体操の着地で肘を脱臼骨折 手術後 幹整体院ブログ 名古屋市緑区の整体 医師からも推薦をもらう口コミ高評価の幹整体院 美キレイ | ![]() 体操の着地で肘を脱臼骨折 手術後 幹整体院ブログ 名古屋市緑区の整体 医師からも推薦をもらう口コミ高評価の幹整体院 美キレイ |
![]() 体操の着地で肘を脱臼骨折 手術後 幹整体院ブログ 名古屋市緑区の整体 医師からも推薦をもらう口コミ高評価の幹整体院 美キレイ | ![]() 体操の着地で肘を脱臼骨折 手術後 幹整体院ブログ 名古屋市緑区の整体 医師からも推薦をもらう口コミ高評価の幹整体院 美キレイ | ![]() 体操の着地で肘を脱臼骨折 手術後 幹整体院ブログ 名古屋市緑区の整体 医師からも推薦をもらう口コミ高評価の幹整体院 美キレイ |
![]() 体操の着地で肘を脱臼骨折 手術後 幹整体院ブログ 名古屋市緑区の整体 医師からも推薦をもらう口コミ高評価の幹整体院 美キレイ | 体操の着地で肘を脱臼骨折 手術後 幹整体院ブログ 名古屋市緑区の整体 医師からも推薦をもらう口コミ高評価の幹整体院 美キレイ | ![]() 体操の着地で肘を脱臼骨折 手術後 幹整体院ブログ 名古屋市緑区の整体 医師からも推薦をもらう口コミ高評価の幹整体院 美キレイ |
![]() 体操の着地で肘を脱臼骨折 手術後 幹整体院ブログ 名古屋市緑区の整体 医師からも推薦をもらう口コミ高評価の幹整体院 美キレイ | ![]() 体操の着地で肘を脱臼骨折 手術後 幹整体院ブログ 名古屋市緑区の整体 医師からも推薦をもらう口コミ高評価の幹整体院 美キレイ | ![]() 体操の着地で肘を脱臼骨折 手術後 幹整体院ブログ 名古屋市緑区の整体 医師からも推薦をもらう口コミ高評価の幹整体院 美キレイ |
![]() 体操の着地で肘を脱臼骨折 手術後 幹整体院ブログ 名古屋市緑区の整体 医師からも推薦をもらう口コミ高評価の幹整体院 美キレイ | 体操の着地で肘を脱臼骨折 手術後 幹整体院ブログ 名古屋市緑区の整体 医師からも推薦をもらう口コミ高評価の幹整体院 美キレイ | ![]() 体操の着地で肘を脱臼骨折 手術後 幹整体院ブログ 名古屋市緑区の整体 医師からも推薦をもらう口コミ高評価の幹整体院 美キレイ |
体操の着地で肘を脱臼骨折 手術後 幹整体院ブログ 名古屋市緑区の整体 医師からも推薦をもらう口コミ高評価の幹整体院 美キレイ | ![]() 体操の着地で肘を脱臼骨折 手術後 幹整体院ブログ 名古屋市緑区の整体 医師からも推薦をもらう口コミ高評価の幹整体院 美キレイ | ![]() 体操の着地で肘を脱臼骨折 手術後 幹整体院ブログ 名古屋市緑区の整体 医師からも推薦をもらう口コミ高評価の幹整体院 美キレイ |
体操の着地で肘を脱臼骨折 手術後 幹整体院ブログ 名古屋市緑区の整体 医師からも推薦をもらう口コミ高評価の幹整体院 美キレイ | ![]() 体操の着地で肘を脱臼骨折 手術後 幹整体院ブログ 名古屋市緑区の整体 医師からも推薦をもらう口コミ高評価の幹整体院 美キレイ | ![]() 体操の着地で肘を脱臼骨折 手術後 幹整体院ブログ 名古屋市緑区の整体 医師からも推薦をもらう口コミ高評価の幹整体院 美キレイ |
体操の着地で肘を脱臼骨折 手術後 幹整体院ブログ 名古屋市緑区の整体 医師からも推薦をもらう口コミ高評価の幹整体院 美キレイ | ![]() 体操の着地で肘を脱臼骨折 手術後 幹整体院ブログ 名古屋市緑区の整体 医師からも推薦をもらう口コミ高評価の幹整体院 美キレイ | 体操の着地で肘を脱臼骨折 手術後 幹整体院ブログ 名古屋市緑区の整体 医師からも推薦をもらう口コミ高評価の幹整体院 美キレイ |
体操の着地で肘を脱臼骨折 手術後 幹整体院ブログ 名古屋市緑区の整体 医師からも推薦をもらう口コミ高評価の幹整体院 美キレイ | ![]() 体操の着地で肘を脱臼骨折 手術後 幹整体院ブログ 名古屋市緑区の整体 医師からも推薦をもらう口コミ高評価の幹整体院 美キレイ | ![]() 体操の着地で肘を脱臼骨折 手術後 幹整体院ブログ 名古屋市緑区の整体 医師からも推薦をもらう口コミ高評価の幹整体院 美キレイ |
![]() 体操の着地で肘を脱臼骨折 手術後 幹整体院ブログ 名古屋市緑区の整体 医師からも推薦をもらう口コミ高評価の幹整体院 美キレイ | ![]() 体操の着地で肘を脱臼骨折 手術後 幹整体院ブログ 名古屋市緑区の整体 医師からも推薦をもらう口コミ高評価の幹整体院 美キレイ | ![]() 体操の着地で肘を脱臼骨折 手術後 幹整体院ブログ 名古屋市緑区の整体 医師からも推薦をもらう口コミ高評価の幹整体院 美キレイ |
![]() 体操の着地で肘を脱臼骨折 手術後 幹整体院ブログ 名古屋市緑区の整体 医師からも推薦をもらう口コミ高評価の幹整体院 美キレイ | ![]() 体操の着地で肘を脱臼骨折 手術後 幹整体院ブログ 名古屋市緑区の整体 医師からも推薦をもらう口コミ高評価の幹整体院 美キレイ | ![]() 体操の着地で肘を脱臼骨折 手術後 幹整体院ブログ 名古屋市緑区の整体 医師からも推薦をもらう口コミ高評価の幹整体院 美キレイ |
体操の着地で肘を脱臼骨折 手術後 幹整体院ブログ 名古屋市緑区の整体 医師からも推薦をもらう口コミ高評価の幹整体院 美キレイ | 体操の着地で肘を脱臼骨折 手術後 幹整体院ブログ 名古屋市緑区の整体 医師からも推薦をもらう口コミ高評価の幹整体院 美キレイ | ![]() 体操の着地で肘を脱臼骨折 手術後 幹整体院ブログ 名古屋市緑区の整体 医師からも推薦をもらう口コミ高評価の幹整体院 美キレイ |
体操の着地で肘を脱臼骨折 手術後 幹整体院ブログ 名古屋市緑区の整体 医師からも推薦をもらう口コミ高評価の幹整体院 美キレイ | ![]() 体操の着地で肘を脱臼骨折 手術後 幹整体院ブログ 名古屋市緑区の整体 医師からも推薦をもらう口コミ高評価の幹整体院 美キレイ | ![]() 体操の着地で肘を脱臼骨折 手術後 幹整体院ブログ 名古屋市緑区の整体 医師からも推薦をもらう口コミ高評価の幹整体院 美キレイ |
![]() 体操の着地で肘を脱臼骨折 手術後 幹整体院ブログ 名古屋市緑区の整体 医師からも推薦をもらう口コミ高評価の幹整体院 美キレイ | 体操の着地で肘を脱臼骨折 手術後 幹整体院ブログ 名古屋市緑区の整体 医師からも推薦をもらう口コミ高評価の幹整体院 美キレイ | ![]() 体操の着地で肘を脱臼骨折 手術後 幹整体院ブログ 名古屋市緑区の整体 医師からも推薦をもらう口コミ高評価の幹整体院 美キレイ |
![]() 体操の着地で肘を脱臼骨折 手術後 幹整体院ブログ 名古屋市緑区の整体 医師からも推薦をもらう口コミ高評価の幹整体院 美キレイ | ![]() 体操の着地で肘を脱臼骨折 手術後 幹整体院ブログ 名古屋市緑区の整体 医師からも推薦をもらう口コミ高評価の幹整体院 美キレイ | ![]() 体操の着地で肘を脱臼骨折 手術後 幹整体院ブログ 名古屋市緑区の整体 医師からも推薦をもらう口コミ高評価の幹整体院 美キレイ |
体操の着地で肘を脱臼骨折 手術後 幹整体院ブログ 名古屋市緑区の整体 医師からも推薦をもらう口コミ高評価の幹整体院 美キレイ | ![]() 体操の着地で肘を脱臼骨折 手術後 幹整体院ブログ 名古屋市緑区の整体 医師からも推薦をもらう口コミ高評価の幹整体院 美キレイ | 体操の着地で肘を脱臼骨折 手術後 幹整体院ブログ 名古屋市緑区の整体 医師からも推薦をもらう口コミ高評価の幹整体院 美キレイ |
![]() 体操の着地で肘を脱臼骨折 手術後 幹整体院ブログ 名古屋市緑区の整体 医師からも推薦をもらう口コミ高評価の幹整体院 美キレイ | 体操の着地で肘を脱臼骨折 手術後 幹整体院ブログ 名古屋市緑区の整体 医師からも推薦をもらう口コミ高評価の幹整体院 美キレイ | ![]() 体操の着地で肘を脱臼骨折 手術後 幹整体院ブログ 名古屋市緑区の整体 医師からも推薦をもらう口コミ高評価の幹整体院 美キレイ |
![]() 体操の着地で肘を脱臼骨折 手術後 幹整体院ブログ 名古屋市緑区の整体 医師からも推薦をもらう口コミ高評価の幹整体院 美キレイ | 体操の着地で肘を脱臼骨折 手術後 幹整体院ブログ 名古屋市緑区の整体 医師からも推薦をもらう口コミ高評価の幹整体院 美キレイ | 体操の着地で肘を脱臼骨折 手術後 幹整体院ブログ 名古屋市緑区の整体 医師からも推薦をもらう口コミ高評価の幹整体院 美キレイ |
![]() 体操の着地で肘を脱臼骨折 手術後 幹整体院ブログ 名古屋市緑区の整体 医師からも推薦をもらう口コミ高評価の幹整体院 美キレイ | 体操の着地で肘を脱臼骨折 手術後 幹整体院ブログ 名古屋市緑区の整体 医師からも推薦をもらう口コミ高評価の幹整体院 美キレイ | ![]() 体操の着地で肘を脱臼骨折 手術後 幹整体院ブログ 名古屋市緑区の整体 医師からも推薦をもらう口コミ高評価の幹整体院 美キレイ |
![]() 体操の着地で肘を脱臼骨折 手術後 幹整体院ブログ 名古屋市緑区の整体 医師からも推薦をもらう口コミ高評価の幹整体院 美キレイ | ![]() 体操の着地で肘を脱臼骨折 手術後 幹整体院ブログ 名古屋市緑区の整体 医師からも推薦をもらう口コミ高評価の幹整体院 美キレイ | ![]() 体操の着地で肘を脱臼骨折 手術後 幹整体院ブログ 名古屋市緑区の整体 医師からも推薦をもらう口コミ高評価の幹整体院 美キレイ |
![]() 体操の着地で肘を脱臼骨折 手術後 幹整体院ブログ 名古屋市緑区の整体 医師からも推薦をもらう口コミ高評価の幹整体院 美キレイ | 体操の着地で肘を脱臼骨折 手術後 幹整体院ブログ 名古屋市緑区の整体 医師からも推薦をもらう口コミ高評価の幹整体院 美キレイ | 体操の着地で肘を脱臼骨折 手術後 幹整体院ブログ 名古屋市緑区の整体 医師からも推薦をもらう口コミ高評価の幹整体院 美キレイ |
体操の着地で肘を脱臼骨折 手術後 幹整体院ブログ 名古屋市緑区の整体 医師からも推薦をもらう口コミ高評価の幹整体院 美キレイ | 体操の着地で肘を脱臼骨折 手術後 幹整体院ブログ 名古屋市緑区の整体 医師からも推薦をもらう口コミ高評価の幹整体院 美キレイ | ![]() 体操の着地で肘を脱臼骨折 手術後 幹整体院ブログ 名古屋市緑区の整体 医師からも推薦をもらう口コミ高評価の幹整体院 美キレイ |
![]() 体操の着地で肘を脱臼骨折 手術後 幹整体院ブログ 名古屋市緑区の整体 医師からも推薦をもらう口コミ高評価の幹整体院 美キレイ | 体操の着地で肘を脱臼骨折 手術後 幹整体院ブログ 名古屋市緑区の整体 医師からも推薦をもらう口コミ高評価の幹整体院 美キレイ | ![]() 体操の着地で肘を脱臼骨折 手術後 幹整体院ブログ 名古屋市緑区の整体 医師からも推薦をもらう口コミ高評価の幹整体院 美キレイ |
体操の着地で肘を脱臼骨折 手術後 幹整体院ブログ 名古屋市緑区の整体 医師からも推薦をもらう口コミ高評価の幹整体院 美キレイ |






































































0 件のコメント:
コメントを投稿